Удары головой в футболе повреждают мозг даже без сотрясений
Новое масштабное исследование, проведенное учеными Колумбийского университета, обнаружило, что регулярные удары головой по мячу в футболе вызывают микроструктурные изменения в мозге даже у игроков-любителей, не имеющих в анамнезе сотрясений мозга.
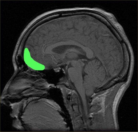
В исследовании приняли участие 352 взрослых футболиста-любителя. Ученые установили, что у тех, кто выполнял более 1000 ударов головой в год, наблюдались изменения в корковом интерфейсе серого и белого вещества (GWI) в орбитофронтальной области мозга, расположенной непосредственно за глазами.
Команда нейробиолога Майкла Липтона разработала новую методику визуализации, позволяющую детально исследовать внешние морщины мозга с помощью диффузионной МРТ. Эта техника выявила, что граница между серым и белым веществом становится более размытой у футболистов с большим количеством ударов головой.
Исследователи связывают обнаруженные изменения с противоударной силой, возникающей при ударе головой по мячу. Повреждения локализуются на противоположной стороне от точки удара, что напоминает механизм ушиба мозга.
Важно отметить, что участники с выявленными изменениями мозга также продемонстрировали статистически значимое снижение показателей в тестах на память и обучение, независимо от их возраста и пола.
Аспирантка Джоан Сонг, разработавшая метод анализа МРТ-изображений, отмечает, что у здоровых людей переход между тканями серого и белого вещества обычно резкий, тогда как у футболистов с большим количеством ударов головой этот переход становится менее четким.
Исследователи предполагают, что выявленные изменения могут быть связаны с развитием хронической травматической энцефалопатии (ХТЭ) и других неврологических расстройств. Результаты исследования опубликованы в научном журнале JAMA Network Open.
Источник: ScienceAlert





0 комментариев
Добавить комментарий
Добавить комментарий