Сохранить ленту

Открытия и исследования

Ученые из Флориды выявили нейронный «таймер» в мозге для координации движений

В США специалисты Института нейробиологии Макса Планка (Флорида) выяснили, как мозг выстраивает последовательность движений с точностью до секунды. Работая с лабораторными мышами, они обнаружили,...

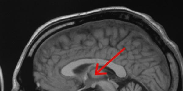
Ученые зафиксировали момент, когда мозг «проваливается» в сон

Команда нейробиологов из Имперского колледжа Лондона и Британского научно-исследовательского института деменции установила, что человеческий мозг переходит из состояния бодрствования в сон не...

Star Catcher установила мировой рекорд беспроводной передачи энергии мощностью 1,1 кВт

Американская компания Star Catcher Industries провела успешное испытание технологии беспроводной передачи энергии, достигнув мощности 1,1 киловатта. Эксперимент состоялся на территории Космического...

Инженеры MIT создали ультразвуковое устройство для извлечения воды из воздуха

Исследователи Массачусетского технологического института представили технологию извлечения воды из атмосферы на основе ультразвуковых колебаний. Разработка опубликована в научном журнале Nature...

Ученые выяснили: фитнес-приложения могут демотивировать и лишать радости от спорта

Ученые недавно провели новое исследование, которое показало, что популярные приложения для отслеживания питания и физической активности могут негативно влиять на пользователей. В ходе исследования...

Протуберанец в 80 раз больше Земли оторвался от Солнца

Как сообщили РИА Новости в лаборатории при Институте космических исследований, 20.11. 2025 года от Солнца отделился огромный протуберанец, который в восемьдесят раз превышает габариты нашей...

Скорость света действительно неизменна: физики использовали мощнейшие взрывы для теста теории относительности

Если у Специальной теории относительности и есть «священная корова», то это принцип лоренц-инвариантности. Он диктует жесткие правила игры: физика симметрична, а скорость света (с) — это...

Ядро Земли протекает: как выбросы из центра планеты сформировали аномалии под океанами

Для легкости восприятия, Землю обычно описывают как слоеный пирог: кора, мантия, ядро. Ну и кажется что всё просто — четкие границы, понятная физика. Но сейсмологи давно знают, что эта...

Светомаскировка в глубинах: зачем акула-фонарь сама себя подсвечивает?

В тёмных водах глубокого океана, куда солнечный свет почти не проникает, живёт удивительный хищник — акула-фонарь (Etmopterus). Она излучает мягкий голубовато-зеленый свет, и это не...

Почему два луча света не сталкиваются и не уничтожают друг друга?

Полагаю, что вам известна специфика поведения света и его строения. По существующим представлениям свет состоит из фотонов. И, несмотря на множество противоречий и сложностей в понимании природы...

Учёные объяснили причины высокого содержания планктона в морях Камчатки

Исследовательская группа из Владивостока и Петропавловска-Камчатского объяснила, почему воды у восточного побережья Камчатки особенно богаты планктоном. Специалисты выяснили, что необычайно высокая...

В Восточном Казахстане найден город Бронзового века: откуда в степи металлургический завод возрастом 3600 лет?

Долгое время в археологии Евразии существовала устойчивая догма: степь — это пространство движения. Это кочевники, юрты, временные стоянки и бесконечный горизонт. Города, сложная...

Скрытая биосфера Земли: ИИ выявил древнейшие следы жизни возрастом 3,3 млрд лет, невидимые для человека

Вот грустная правда о палеонтологии: чем дальше мы смотрим в прошлое, тем меньше мы находим. Когда речь идет о породах старше 2,5 миллиардов лет, привычные методы перестают работать. Окаменелости...

Биологи доказали отставание эволюции человека от скорости изменения окружающей среды

Ученые из Цюрихского университета представили исследование, в котором делается вывод о значительном несоответствии между биологическими механизмами человека, сформированными в ходе эволюции, и...

Ученые доказали существование дистанционного осязания у человека

Группа ученых из Лондонского университета королевы Марии под руководством Чжэнци Чена провела эксперимент, доказывающий наличие у человека способности к дистанционному осязанию. Результаты...

Крылья самолётов будут очищать ото льда с помощью вибрации

Специалисты Института Фраунгофера в Германии разработали технологию удаления ледяных отложений с поверхности крыльев самолётов. Метод основан на использовании пьезоэлектрических элементов,...

Зимующие пауки рода Clubiona используют новые белки- антифризы для защиты от замерзания

В результате новейшего исследования, опубликованного 19 ноября 2025 года в журнале FEBS Journal, ученые подробно описали молекулярные механизмы, которые позволяют зимующим паукам рода Clubiona...

Разработан электронный нейрон, который меняет свои функции, как клетки живого мозга

Международная группа исследователей, в которую входят специалисты из Университета Лафборо, Института Солка и Университета Южной Калифорнии, создала новый тип искусственного нейрона. Устройство...

✦ ИИ  Ученые доказали: человек не видит разницу между 4K и 8K телевизорами

Специалисты Кембриджского университета совместно с MetaRealityLabs завершили эксперимент по измерению фактической разрешающей способности сетчатки человека. Исследование проводилось с участием 18...

Бактерии научили создавать пигмент камуфляжа осьминогов

Исследовательская группа Калифорнийского университета в Сан-Диего разработала метод массового получения ксантомматина — редкого природного пигмента, который обеспечивает головоногим...

Проект Virtual Telescope провёл прямую трансляцию наблюдения за межзвёздной кометой 3I/ATLAS

16 ноября 2025 года проект Virtual Telescope организовал прямую трансляцию наблюдения за кометой 3I/ATLAS на своём YouTube-канале. Трансляция началась в 23:15 по восточному времени США.Комета...

Новый материал с графеном сделает автодетали прочнее и легче

Исследователь из Университета Торонто Нелло Дэвид Сансоне разработал композитный материал Gratek, который сочетает полипропилен, стекловолокно и нанопластины графена. Новое вещество превосходит...

На Марсе найден камень с высоким содержанием железа и никеля

Марсоход Perseverance, работающий на поверхности Марса с 2021 года, обнаружил необычный объект — камень, который может быть железо-никелевым метеоритом. Находка сделана в районе кратера...

Физики зафиксировали проникновение электронов внутрь ядра атома

Исследовательская группа Массачусетского технологического института опубликовала в журнале Science результаты эксперимента, в котором молекула монофторида радия использовалась для точных измерений...

Создана первая полная позвездная модель Млечного Пути: как ИИ решил главную проблему моделирования галактик

Создать точную цифровую копию Млечного Пути — одна из самых сложных задач вычислительной астрофизики. В такой симуляции, можно отследить судьбу каждой из сотен миллиардов звезд,...

6 больших научных открытий 2025 года о самых маленьких созданиях Земли

Мир насекомых — это не банальные муравьи под ногами, а головоломка, где каждый кусочек раскрывает возможности для медицины, новых технологий и выживания человека в будущем. За каждым...

Цифровые двойники пациентов: новая технология прогнозирования рака внедрена в клинические исследования

Медицинская школа Университета Мэриленда представила новый программный комплекс, который открывает принципиально новые возможности для исследования поведения клеток и прогнозирования развития рака....

Исследование показало: ИИ делает нас увереннее, чем мы есть на самом деле

Ученые из Университета Аалто вместе с коллегами из Германии и Канады провели исследование, которое показало: использование систем искусственного интеллекта заметно искажает привычный эффект...

Как получить энергию из ночного неба: разработан двигатель, работающий на холоде космоса

Привычно энергия ассоциируется с теплом. Горение топлива, солнечные лучи, геотермальные источники — все это о нагреве. А может ли ее источником стать холод?Именно этот вопрос лег в...

Принцип «один тебе, один мне» — математически худший способ добиться справедливости. Тогда как делить по-честному?

Наш мозг интуитивно стремится к справедливости, но часто выбирает для этого неверные инструменты. Когда нужно разделить что-то ценное, например, право первого хода, мы почти всегда прибегаем к...