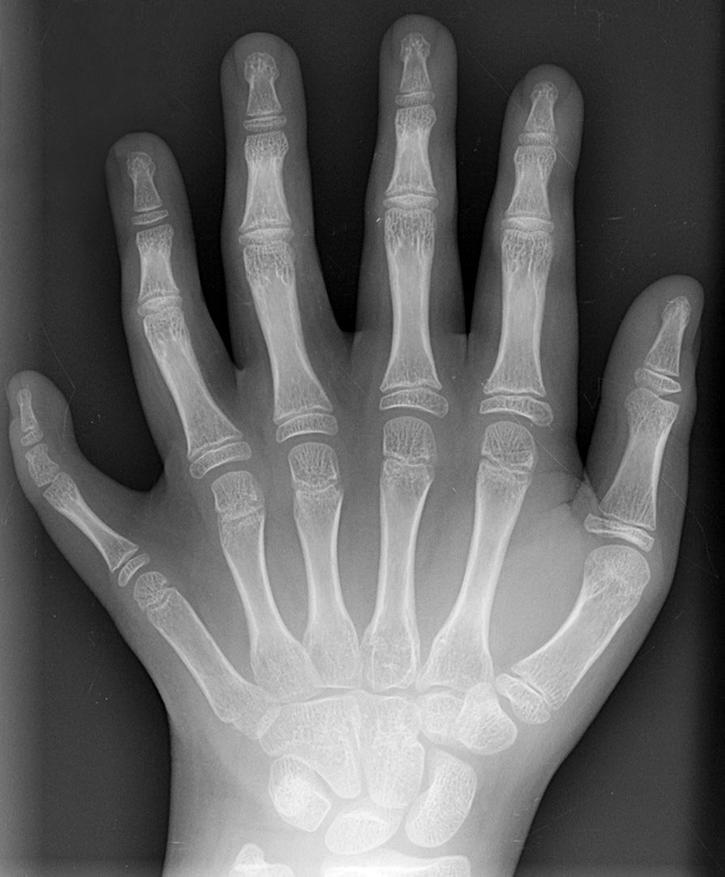
Почему у человека пять пальцев: разбор эволюционной случайности, ставшей нормой
Если рассмотреть человеческую ладонь, она кажется очень удобным инструментом. Пять пальцев обеспечивают оптимальный баланс между силой захвата и точностью мелкой моторики. Такое количество воспринимается нами как нечто само собой разумеющееся. Однако с точки зрения чистой механики в таком количестве нет ничего обязательного. Шесть пальцев могли бы обеспечить более надежное сцепление с поверхностью, а четыре — упростить скелетную конструкцию и снизить энергозатраты на рост тканей.
Тем не менее, абсолютное большинство наземных позвоночных — от приматов и грызунов до рептилий и амфибий — следует именно пятипалой схеме. Почему природа остановилась именно на этом варианте? Ответ на этот вопрос требует погружения в глубокую историю развития жизни на Земле, во времена, когда границы между водными и наземными обитателями только-только были стерты.
Эпоха анатомических экспериментов
Перенесемся в девонский период, примерно на 360 миллионов лет назад. Это было время, когда далекие предки всех современных четвероногих (тетрапод) только начинали осваивать сушу.
Долгое время считалось, что пятипалая конечность сформировалась еще в воде и животные вышли на берег уже с готовым набором пальцев. Однако палеонтологические находки последних десятилетий опровергли эту теорию линейного прогресса. Останки древнейших тетрапод, таких как Acanthostega и Ichthyostega, показывают: эволюция не сразу пришла к единому стандарту.
У ранних покорителей суши количество пальцев варьировалось. На одной конечности могло быть восемь, семь или шесть фаланг. Природа фактически проводила масштабный перебор вариантов, проверяя, какая конструкция окажется наиболее эффективной для передвижения под действием гравитации, без поддержки воды.
Однако этот период вариативности продлился недолго по геологическим меркам. Многопалые формы вымерли, не оставив прямых потомков. Выжила лишь та группа животных, у которой закрепилась пятипалая конечность. Именно от этих предков произошли все современные амфибии, рептилии, птицы и млекопитающие. Пятипалая схема стала своего рода «бутылочным горлышком» эволюции, через которое прошли все наши прародители.
Генетический стандарт
Почему же эволюция остановилась на пяти, а не на семи или восьми? Ответ кроется не столько в биомеханическом преимуществе, сколько в генетике.
Как только пятипалая схема закрепилась, она была зафиксирована на уровне фундаментальных генетических программ — Hox-генов. Это особая группа регуляторных генов, которые отвечают за план строения тела эмбриона. Они определяют, где будет голова, где хвост, и сколько элементов будет в конечности.
Hox-гены работают не изолированно, а в сложной взаимосвязи с другими системами организма. Изменение количества пальцев на генетическом уровне могло повлечь за собой сбои в развитии других органов или скелета в целом. Поэтому эволюция пошла по пути наименьшего сопротивления: проще было сохранить пятипалую схему, чем перестраивать весь геном.
Скрытое единство: от кита до летучей мыши
Пятипалая структура (в науке это называется пентадактилией) оказалась настолько устойчивой, что сохранилась даже у тех животных, которым пальцы, казалось бы, уже не нужны. Это явление демонстрирует принцип гомологии — сходства органов, имеющих общее происхождение, но выполняющих разные функции.
Если рассмотреть скелет грудного плавника кита, дельфина или морского льва, мы увидим те же кости плеча, предплечья и, что самое удивительное, пять пальцеобразных лучей, скрытых под толстым слоем кожи и жира. Животные вернулись в воду миллионы лет назад, но их скелет сохранил память о сухопутном прошлом.
То же самое касается рукокрылых. Крыло летучей мыши — это не новая конечность, а сильно видоизмененная кисть. Тонкая кожаная перепонка натянута на удлиненные фаланги тех же самых пяти пальцев.
Даже у животных, которые в процессе эволюции утратили пальцы, развитие эмбриона начинается с классической схемы. У эмбрионов лошадей или птиц на ранних стадиях формируются зачатки пяти лучей. Лишь позже генетическая программа запускает процесс редукции (отмирания) «лишних» элементов, оставляя один палец (превращающийся в копыто) или три (формирующие крыло).
Редкие случаи рождения людей с шестью пальцами (полидактилия) являются результатом сбоя в работе конкретного гена-регулятора, известного как Sonic hedgehog. Этот ген контролирует ширину конечности и количество элементов в ней. Однако в норме система жестко блокирует такие отклонения, возвращая организм к стандарту «пять».
Проблема костной ткани
Долгое время ученые не могли объяснить сам механизм превращения рыбьего плавника в лапу. Проблема заключалась в различии тканей. Плавники рыб состоят из дермальной кости — тонких лучей, формирующихся в кожном слое. Пальцы же тетрапод состоят из эндохондральной кости, которая развивается из хряща. Как одна ткань могла трансформироваться в другую?
Прорыв произошел в 2016 году благодаря исследованию группы ученых из Чикагского университета. Они использовали современные методы редактирования генома CRISPR-Cas на популярных лабораторных рыбах — данио-рерио.
Ученые целенаправленно отключали у рыб гены Hox, которые у мышей и людей отвечают за развитие пальцев. Результат: у модифицированных рыб переставали формироваться лучи плавников.
Это доказало, что, несмотря на структурные различия, развитие плавников и пальцев контролируется одними и теми же генами. Эволюция не создавала пальцы с нуля. Она использовала уже существовавший генетический механизм, отвечавший за формирование плавников, и просто изменила режим его работы. Клетки, которые раньше строили тонкие лучи плавника, под действием мутаций и естественного отбора начали формировать более прочные хрящевые структуры, ставшие основой для пальцев.
Глобальная перестройка организма
Появление пальцев было лишь частью общей трансформации, необходимой для жизни на суше. Исследования показывают, что человеческое тело буквально собрано из модифицированных частей рыб.
- Плечевой пояс: кости, формирующие наши ключицы и лопатки, эволюционировали из жаберных дуг древних рыб. У рыб эти кости поддерживают дыхательный аппарат, но у наземных животных они сменили функцию, став опорой для передних конечностей.
- Шея: у рыб голова жестко соединена с плечевым поясом, что ограничивает подвижность. В процессе эволюции череп отделился от плечевого пояса. Это создало пространство для формирования шейного отдела позвоночника. Появление шеи стало критически важной инновацией: способность поворачивать голову независимо от туловища позволила первым наземным животным эффективнее охотиться и замечать опасность.
- Задние конечности: наши ноги ведут свое происхождение от брюшных плавников лопастеперых рыб. Генетические механизмы, управляющие их развитием, во многом дублируют те, что формируют руки.
Итог
Вопрос «почему у нас пять пальцев» не имеет однозначного функционального ответа. Нет доказательств, что пять пальцев лучше шести. Скорее всего, число пять — это результат исторической случайности, закрепившейся в ходе эволюции.
Древние тетраподы обладали разным количеством пальцев, но выжила именно пятипалая линия. После того как этот признак был закодирован в сложной сети Hox-генов, изменить его стало практически невозможно без последствий для развития организма. Мы носим эту анатомическую особенность не потому, что она идеальная, а потому, что мы — потомки конкретной группы древних рыб, у которых генетическая карта сложилась именно таким образом 360 миллионов лет назад.
Источник: www.flickr.com





4 комментария
Добавить комментарий
--
А ещё интересна более глубокая гомология. Пальцы и конечности произошли от плавников рыб, ОК. А от чего произошли плавники? От складок кожи для стабилизации в воде плывущей рыбы? А дальше? Гомологичны ли наши руки и плавники — скажем, маргинальному и/или лабиальному кругу щупалец у древних докембрийских медуз, ещё не ставших билатериями? Я вот читал на Элементах статью, где довольно убедительно выводятся из двух кругов щупалец медузы — конечности насекомых и даже их крылья, а также реснитчатые поля морских ежей, амбулакральные ножки морских звёзд и пр. Согласно статье, медуза, похожая на личинки некоторых современных кораллов, стала донным животным, стала ползать по дну, при этом её рот вытянулся в щель и позже сомкнулся посередине — получился рот, кишечник и задница, и вот уже у нас билатерия. Потом органы чувств стянулись к переднему концу, там же стали укрупняться нервные узлы — и вот у нас червяк. А первоначальные щупальца внутреннего и внешнего кругов стали новыми органами передвижения, разными у разных организмов. Там смотрели экспрессию похожих генов и в целом картина складывается, хотя и не без нюансов: эволюционная история часто бывает нелогична и сложна.
Но про конечности тетрапод там ничего не было сказано. Либо глубокая гомология есть, но мы её ещё не понимаем несмотря на достижения генетики. Либо гомологии нет, и плавники рыб позже возникли самостоятельно, без связи со щупальцами медуз и реснитчатыми полями.
А судя по тому, как жизнь развивалась на нашей планете, всё идёт от фундаментального устройства нашей вселенной.
Добавить комментарий