Боль в спине и жар открыли третью почку у пациента
Тридцатиоднолетний житель Варды пять дней терпел боль в правой части поясницы. Его также мучило жжение при мочеиспускании и температура выше тридцати девяти градусов. Мужчина подумал на обычную инфекцию мочевых путей и пришёл в клинику.
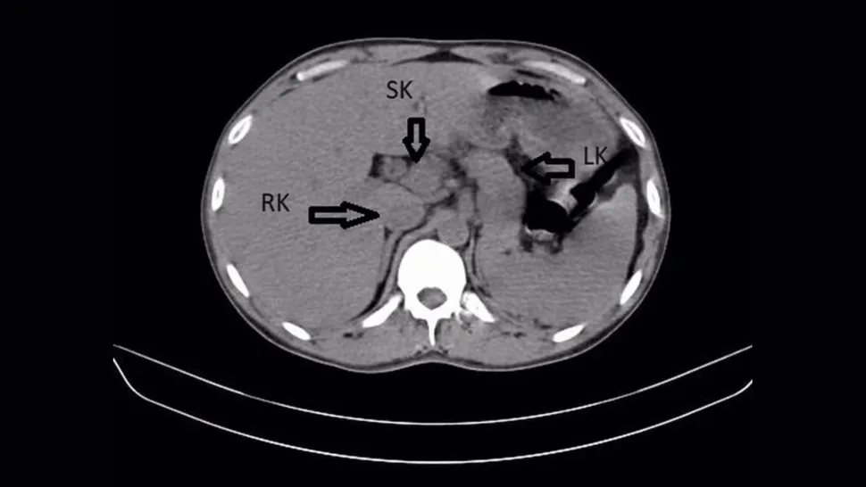
Анализы сразу подтвердили бактерию клебсиеллу пневмонии, которая вызвала воспаление. Чтобы разобраться до конца, специалисты провели компьютерную томографию. На снимках вместо двух почек оказалось три. Дополнительная почка плотно срослась с правой в форме подковы, и в ней тоже шло воспаление.
Врачи подобрали антибиотики. Вскоре всё прошло без осложнений, и мужчина полностью выздоровел. Никаких операций не потребовалось.
Сверхчисленные почки встречаются очень нечасто — меньше сотни новых случаев за год во всём мире. А когда лишняя почка ещё и срастается подковообразно с обычной, в литературе описано всего несколько примеров. Этот случай стал настоящей диагностической загадкой, которую удалось решить вовремя.
Источник: livescience





0 комментариев
Добавить комментарий