Конференция
Блоги
Игры
Маркет
Про бизнес
Еще
Другие проекты
Конференция
Старейший и крупнейший в рунете форум о технике
Блоги
Впечатления о технике из первых рук на Блоги
Игры
Компьютерные игры и не только на Игры
Маркет
Скидки, купоны, тесты магазинов
ПроБизнес
Новости и обзоры решений для малого и среднего бизнеса
Мерч
IXBT
Войти
Новости
Статьи
Видеокарты и мониторы
Мобильные устройства
Ноутбуки и планшеты
Платформа ПК
Комфортный дом
Все темы
$refs.search?.focus())" aria-label="Очистить поиск" >
Статьи
Видеокарты и мониторы
iT-среда
Мобильные устройства
Ноутбуки и планшеты
Носители информации
Платформа ПК
Приложения и утилиты
Принтеры и периферия
Профессиональное аудио
Проекторы и ТВ
Сети и серверы
Hi-Fi и мультимедиа
Цифровое видео
Цифровое фото
Корпуса, БП и ИБП
Автомобили
Комфортный дом
Новости
Процессоры
Системные платы, память, чипсеты
Цифровое фото
Ноутбуки и планшеты
Мониторы
Техника Apple
Мобильные телефоны
Настольные ПК
Видеокарты
Корпуса, системы питания и охлаждения
Носители информации
Прочие новости
Принтеры и периферия
Сети и серверы
Авто и транспорт
Телевизоры и проекторы
Аудио и звук
Программное обеспечение
Комфортный дом
Цифровое видео
Законы и новости рынка
Криптовалюты
Наука и космос
Авиация
Электротранспорт
Носимая электроника
Консоли и игры
Информационная безопасность
Финансы
Искусственный интеллект
Новости
Сегодня
Лента
Процессоры
Системные платы, память, чипсеты
Цифровое фото
Ноутбуки и планшеты
Мониторы
Техника Apple
Мобильные телефоны
Настольные ПК
Видеокарты
Корпуса, системы питания и охлаж...
Носители информации
Прочие новости
Принтеры и периферия
Сети и серверы
Авто и транспорт
Телевизоры и проекторы
Аудио и звук
Программное обеспечение
Комфортный дом
Цифровое видео
Законы и новости рынка
Криптовалюты
Наука и космос
Авиация
Электротранспорт
Носимая электроника
Консоли и игры
Информационная безопасность
Финансы
Искусственный интеллект
Статьи
Свежие
Видеокарты и мониторы
iT-среда
Мобильные устройства
Ноутбуки и планшеты
Носители информации
Платформа ПК
Приложения и утилиты
Принтеры и периферия
Профессиональное аудио
Проекторы и ТВ
Сети и серверы
Hi-Fi и мультимедиа
Цифровое видео
Цифровое фото
Корпуса, БП и ИБП
Автомобили
Комфортный дом
Наши проекты
Конференция
Остальные проекты
Блоги
Игры
Маркет
ПроБизнес
Новости
03 января 2020
Новости за дату
Список
Все категории
Загрузка...
MSI включит в серию 3D-карт Radeon RX 5600 XT Mech разогнанную модель
Конструкция ее системы охлаждения будет включать два вентилятора
Видеокарты
5
03 янв 2020 22:49
Samsung Galaxy S10 Lite за 45 000 рублей оказался пластиковым
Но зато мощная платформа
Мобильные телефоны
47
03 янв 2020 20:17
Скорое обновление MIUI урежет функциональность смартфонов Xiaomi
Но не в России
Мобильные телефоны
77
03 янв 2020 19:58
Новый футуристичный Segway выглядит как кресло Профессора Икс
Прототип S-Pod развивает скорость в 40 км/ч и может проехать 70 км без подзарядки
Авто и транспорт
58
03 янв 2020 19:54
По словам производителя, PowerVision PowerEgg X открывает новую категорию — «автономные персональные камеры с искусственным интеллектом»
Устройство, разработка которого заняла три года, представлено в преддверии выставки CES 2020
Прочие новости
3
03 янв 2020 19:47
Какие смартфоны Huawei обновятся до Android 10 в 2020 году
Для многих ведётся бета-тестирование EMUI 10
Мобильные телефоны
137
03 янв 2020 19:28
Необычная Radeon RX 5600 XT полностью рассекречена в преддверии анонса
Анонс намечен на 6 января
Видеокарты
15
03 янв 2020 19:05
Samsung Odyssey G9 — первый в мире игровой монитор разрешением Dual Quad, поддерживающий частоту обновления 240 Гц
Компания Samsung представила линейку игровых мониторов Odyssey
Мониторы
26
03 янв 2020 19:01
Huawei кардинально меняет стратегию, смартфоны потеряют свою уникальность
Чипсеты HiSilicon перестанут быть эксклюзивом
Прочие новости
8
03 янв 2020 19:00
PlayStation 5 должна победить Xbox Series X. Так считают специалисты
Новую консоль Microsoft похоронили еще до выхода
Прочие новости
62
03 янв 2020 18:44
Новый складной электросамокат Segway с круиз-контролем претендует на исторический рекорд
Самый компактный, лёгкий и энергоэффективный
Авто и транспорт
16
03 янв 2020 18:30
Акции AMD никогда не стоили так много. Даже 20 лет назад
Установлен новый рекорд
Процессоры
12
03 янв 2020 18:29
Сюда камеру смартфона еще не засовывали
пока по этому аппарату сплошные вопросы и никаких ответов
Мобильные телефоны
5
03 янв 2020 18:15
Tesla снижает цены на Model 3 китайской сборки
Завод в Шанхае – пока единственный завод Tesla за пределами Соединенных Штатов
Авто и транспорт
2
03 янв 2020 18:04
Живое фото подтвердило отсутствие вырезов и отверстий у Xiaomi Mi 10
Аксессуары для будущего флагмана уже готовятся
Мобильные телефоны
16
03 янв 2020 17:57
Более 90% американцев покупают смартфоны Samsung или Apple
В декабре 2019 Apple iPhone 11 был самым продаваемым телефоном
Мобильные телефоны
13
03 янв 2020 17:49
Недорогой Samsung Galaxy Note10 Lite со стилусом представлен официально
Скоро в России
Мобильные телефоны
11
03 янв 2020 17:31
Смартфон Samsung Galaxy S10 Lite представлен официально, скоро в продаже в России
Работает сразу с Android 10
Мобильные телефоны
15
03 янв 2020 17:19
Google отлучила «умный дом» Xiaomi от своих сервисов
Отключена интеграция Mi Home с Google Assistant и Google Home
Комфортный дом
34
03 янв 2020 15:16
Первая распаковка и настройка Xiaomi Watch Color
Часы поступили в продажу по цене 115 долларов
Мобильные телефоны
13
03 янв 2020 14:51
Мессенджер Google объявлен вредоносным на смартфонах с Android, включая Huawei и фирменные Pixel
Google закрыла проект Allo ещё в марте 2019 года
Мобильные телефоны
9
03 янв 2020 14:50
Apple AirPods стали настоящим кошмаром вместо рождественского подарка
Мать ребенка и сам мальчик были сильно обеспокоены тем, как будут доставать гаджет
Мобильные телефоны
81
03 янв 2020 14:44
Названо главное отличие Huawei P40, P40 Pro и P40 Plus
Серия Huawei P40 будет включать три модели.
Мобильные телефоны
2
03 янв 2020 14:31
Samsung продала гораздо больше 5G-смартфонов, чем планировала
Компания возглавила новый рынок
Мобильные телефоны
1
03 янв 2020 14:18
Huawei первой открыла уникальный магазин без сотрудников
Умный магазин Huawei имеет цилиндрическую форму с пуленепробиваемым стеклом
Прочие новости
21
03 янв 2020 14:06
Новинка Huawei внезапно получила сервисы Google
Все уже привыкли, что новые смартфоны Huawei будут выходить без сервисов Google, однако они есть у Huawei Y6s
Мобильные телефоны
5
03 янв 2020 13:52
Графические процессоры Nvidia Ampere будут на 50% быстрее, чем Turing, при вдвое меньшем энергопотреблении
GPU следующего поколения выйдут во втором полугодии
Видеокарты
36
03 янв 2020 13:49
Новенькие Samsung Galaxy Buds+ показались за месяц до анонса
Наушники дебютируют одновременно с Samsung Galaxy S11 или S20
Аудио и звук
7
03 янв 2020 13:48
Альтернативный дизайн и скрытая камера в исполнении OnePlus
Особенная технология делает невидимыми датчики изображения
Мобильные телефоны
3
03 янв 2020 13:37
В этом году AMD превзойдет Apple
И станет крупнейшим заказчиком TSMC на выпуск продукции по нормам 7 нм
Прочие новости
25
03 янв 2020 13:26
Флагманской зеркальной камере Pentax K формата APS-C приписывают гибридный видоискатель
В нем объединены преимущества оптических и электронных видоискателей
Цифровое фото
5
03 янв 2020 12:29
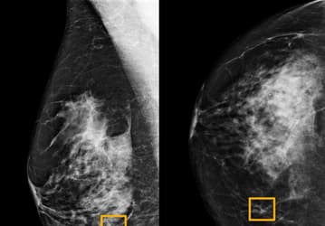
Искусственный интеллект Google выявляет рак груди точнее опытного врача
Система разработана компанией DeepMind, в 2014 году приобретенной холдингом Alphabet, совместно с Google Health
Прочие новости
3
03 янв 2020 12:13
Samsung создала первый гибкий телевизор
Samsung представит этот телевизор на выставке CES 2020
Телевизоры и проекторы
4
03 янв 2020 10:43
Xiaomi рассказала, на что компания потратит миллиарды долларов
2020 год станет очень важным для компании
Мобильные телефоны
1
03 янв 2020 09:51
5G — уже реальность
В этом году будет продано 200 млн смартфонов с поддержкой 5G
Мобильные телефоны
16
03 янв 2020 09:13
Так может выглядеть один из самых интересных флагманов 2020 года
Он получит платформу Snapdragon 865 и флагманскую камеру
Мобильные телефоны
2
03 янв 2020 09:03
PlayStation 5 позволит играть во все старые игры по-новому
Приставка поддерживает все старые игры – от PS1 до PS4
Прочие новости
53
03 янв 2020 08:46
Главный конкурент WhatsApp получил массу улучшений
Обновление принесло несколько важных изменений, включая редактор тем версии 2.0
Прочие новости
33
03 янв 2020 08:45
Qualcomm обеспечила себе светлое будущее
Компания договорилась с Apple, рыночная стоимость превысила 100 миллиардов долларов
Прочие новости
10
03 янв 2020 08:35
Kirin 820 окажется флагманской платформой, она заткнет за пояс Snapdragon 765G
Kirin 820 топовые ядра ARM Cortex-A77 и встроенный модем 5G
Процессоры
33
03 янв 2020 08:33
48 Вт•ч и 45 Вт. Представлен портативный аккумулятор Lenovo
Гаджет оснащен двумя разъемами USB-A и одним USB-C
Прочие новости
4
03 янв 2020 08:26
Так выглядят умные часы Amazfit T-Rex, рассчитанные на экстремальные условия
Они рассчитаны на работу при температуре от - 40 до 70°C
Мобильные телефоны
9
03 янв 2020 08:15
Huawei выпустила долгожданный ноутбук
MateBook D15 Ryzen Edition поддерживает функцию совместной работы на нескольких экранах
Ноутбуки и планшеты
2
03 янв 2020 08:12
Huawei Nova 4, Honor V10, Honor 10 и Huawei MediaPad M6 получили EMUI 10
Huawei Nova 5, Nova 5i Pro, Nova 5z, Honor 20S – на очереди
Мобильные телефоны
81
03 янв 2020 08:02
Xiaomi Mi 10 и Mi 10 Pro выйдут одновременно
Xiaomi Mi 9 был выпущен в первой половине 2019 года, а Xiaomi Mi 9 Pro последовал только в сентябре 2019 года
Мобильные телефоны
3
03 янв 2020 07:01
Представлена система управления следующего поколения
Проект поддерживается Samsung
Прочие новости
4
03 янв 2020 06:49
Потенциальный хит Xiaomi поступает в продажу
Производитель заявляет 1540 комбинаций цветов корпуса, циферблатов и доступных ремешков, которые являются быстросъемными.
Мобильные телефоны
10
03 янв 2020 00:01
Раньше
2020-01-03
Позже
Видео