Парадокс эволюции: чтобы превзойти приматов, человеку пришлось биологически «застрять» в детстве
Префронтальная кора — это центр управления человеческой психикой, отвечающий за планирование, самоконтроль и абстрактное мышление. Долгое время считалось, что уникальность человеческого мозга обусловлена появлением новых, специфических типов нейронов. Однако масштабное исследование, опубликованное в журнале Nature Neuroscience, опровергает это мнение. Ученые составили первый детальный атлас развития префронтальной коры человека и макаки на уровне одиночных клеток и пришли к выводу: наш интеллект — результат не уникальной клеточной архитектуры, а полного изменения временных настроек развития.
Сложность человеческого поведения невозможно объяснить простым увеличением объема мозга. Слон или кит обладают мозгом большего размера, но не демонстрируют когнитивных способностей, сравнимых с человеческими. Разгадка кроется в микроструктуре и динамике формирования нейронных связей.
Группа исследователей применила передовые методы молекулярной биологии — секвенирование РНК одиночных ядер и анализ доступности хроматина. Это позволило им проанализировать активность генов и регуляторных элементов в сотнях тысяч отдельных клеток на разных этапах жизни — от эмбрионального развития до взрослого возраста. Сравнение данных человека и макаки-крабоеда (Macaca fascicularis) выявило принципиальные различия в темпах и механизмах созревания нервной ткани.
Биологическая незрелость как эволюционное преимущество
Главный вывод исследования касается темпов развития. Ученые обнаружили явление выраженной неотении — задержки развития, при которой взрослый организм сохраняет черты, свойственные детским или даже эмбриональным стадиям предков.
На молекулярном уровне нейроны новорожденного человека соответствуют нейронам плода макаки. Если синхронизировать этапы развития двух видов, становится понятно: процессы, которые у приматов занимают месяцы, у человека растягиваются на годы и десятилетия. Человек рождается с мозгом, который функционально гораздо менее готов к работе, чем мозг примата.
Это кажущееся отставание является критически важным эволюционным механизмом. Быстрое созревание мозга макаки обеспечивает высокую выживаемость в дикой природе сразу после рождения, но жестко ограничивает потенциал обучения. Человеческий мозг, оставаясь в состоянии незавершенного строительства в течение первых 20 лет жизни, сохраняет исключительную пластичность. Это позволяет формировать нейронные сети не столько под влиянием жестких генетических инструкций, сколько под воздействием внешней среды, обучения и социального взаимодействия.
Глиальные клетки: архитекторы нейронных сетей
Исследование существенно меняет представление о роли глиальных клеток. Традиционно нейробиология фокусировалась на нейронах, отводя глии роль вспомогательной ткани, обеспечивающей питание и механическую поддержку. Новые данные показывают, что именно глиальные клетки, в частности астроциты и олигодендроциты, выступают ключевыми регуляторами удлиненного человеческого детства.
В префронтальной коре человека обнаружены популяции клеток-предшественников астроцитов, которые отсутствуют у взрослых макак. Эти клетки сохраняют способность к делению и активному развитию на протяжении всего постнатального периода. Генетический анализ выявил, что их активность регулируется специальными генами, которые поддерживают популяцию в способном к размножению состоянии.
Функциональная задача этой активности — управление синаптогенезом и синаптическим прунингом. В процессе развития мозг создает избыточное количество связей между нейронами. Для эффективной работы системы лишние связи необходимо устранить (прунинг), а нужные — укрепить. У человека астроциты координируют этот процесс значительно дольше, чем у приматов, что позволяет создавать более сложные и тонко настроенные нейронные ансамбли, лежащие в основе высших когнитивных функций.
Постнатальная миграция и специализация нейронов
Атлас выявил неожиданную динамику в поведении самих нейронов. Классическая нейробиология исходила из того, что миграция нейронов (их перемещение в нужный слой коры) завершается преимущественно во внутриутробном периоде. Новые данные опровергают это заключение применительно к человеку.
В префронтальной коре человека определенные подтипы возбуждающих нейронов (преимущественно нейроны слоев 2 и 3) продолжают миграцию и занимают свои окончательные позиции уже после рождения. В частности, нейроны, экспрессирующие гены CUX2 и CHN2, демонстрируют признаки активного перемещения в раннем детстве. У макак подобные процессы останавливаются гораздо раньше.
Это открытие означает, что формирование слоистой структуры коры головного мозга у человека происходит под непосредственным влиянием сенсорного опыта. Нейроны занимают свои места не в вакууме, а в уже функционирующей системе, что позволяет точнее интегрировать их в рабочие цепи. Кроме того, наблюдается расхождение в специализации нейронов внутри слоев: у человека подтипы клеток разделяются сильнее, создавая более сложную вычислительную архитектуру.
Нейрохимия интеллекта: баланс рецепторов
Различия обнаружены и на уровне передачи сигналов между клетками. Ученые проанализировали экспрессию генов, кодирующих рецепторы к нейромедиаторам. Особое внимание привлекли рецепторы дофамина, играющие центральную роль в процессах мотивации и рабочей памяти.
В человеческих нейронах наблюдается повышенная экспрессия рецепторов типа D1 по сравнению с рецепторами D2, особенно в глубоких слоях коры. Рецепторы D1 обеспечивают устойчивое возбуждение нейронов, что важно для удержания информации в кратковременной памяти (обработка данных в реальном времени). У макак баланс смещен, что коррелирует с их меньшими способностями к выполнению задач, требующих длительной концентрации и манипулирования абстрактными объектами.
Также зафиксирована разница в плотности синапсов. Человеческие нейроны образуют больше связей, но эти связи созревают медленнее. Динамика белков VAMP2 (пресинаптический) и PSD95 (постсинаптический) показывает, что пик формирования синапсов у человека растянут во времени, создавая длительное окно для обучения.
Генетическая плата за когнитивную гибкость
Исследователи провели перекрестный анализ полученных данных с базами генов, ассоциированных с нейропсихиатрическими заболеваниями. Результаты подтверждают гипотезу о том, что психические расстройства — это побочный эффект сложности человеческого мозга.
Механизмы, обеспечивающие длительную пластичность, являются точками уязвимости. Гены, мутации в которых повышают риск развития расстройств аутистического спектра (РАС) и шизофрении, проявляют максимальную активность именно в тех типах клеток и в те временные периоды, которые отличают развитие человека от развития приматов.
- Связь с аутизмом: гены риска РАС экспрессируются преимущественно в тормозных нейронах и астроцитах в период их активного созревания. Поскольку у человека этот период экстремально растянут, вероятность возникновения ошибок в генетической программе или под воздействием внешних факторов возрастает многократно.
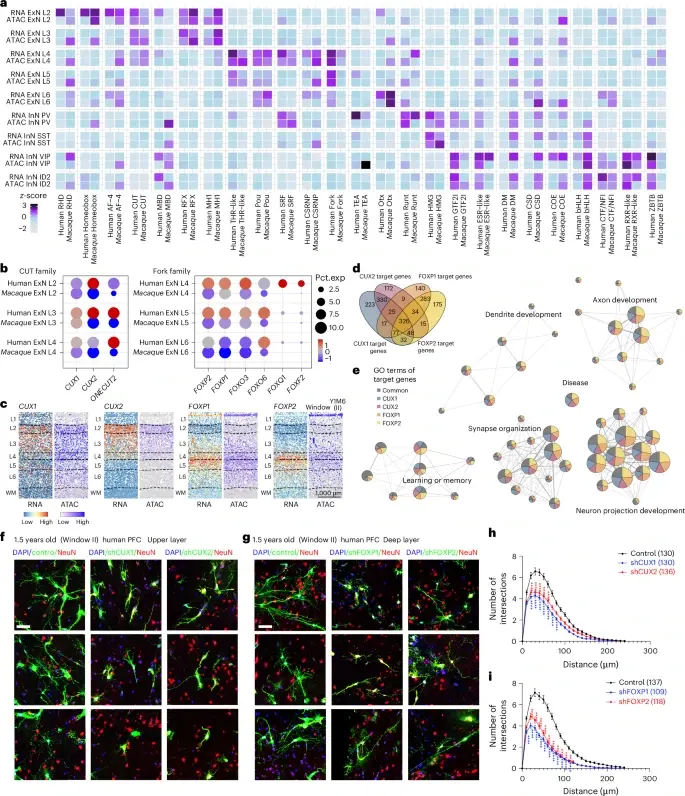
- Транскрипционные факторы: ключевые регуляторные белки, такие как FOXP1, FOXP2 (связанные с развитием речи) и CUX1, контролируют рост дендритов — отростков, принимающих сигналы. Экспериментальное подавление этих генов в человеческой ткани приводило к упрощению структуры нейронов. Именно эти гены демонстрируют специфичную для человека экспрессию в глубоких слоях коры.
Резюме: время как строительный материал
Работа китайских ученых переносит фокус с поиска гена интеллекта на понимание системной динамики развития. Уникальность человеческого разума обусловлена не наличием принципиально иных биологических компонентов, а изменением времени их взаимодействия.
Эволюция пошла по пути замедления биологических часов. Это позволило внедрить в процесс формирования мозга колоссальный объем информации из внешней среды и культуры. Мы рождаемся с полуготовым мозгом, чтобы достроить его в процессе жизни. Однако за эту адаптивность вид Homo sapiens платит высокую цену: сложная, растянутая во времени программа развития оказывается чрезвычайно чувствительной к сбоям, что и создает предрасположенность к специфическим человеческим патологиям психики. Интеллект в данном контексте предстает не как дар, а как результат рискованной эволюционной сделки, где ставкой было время созревания.
Источник: Nature Neuroscience





6 комментариев
Добавить комментарий
А это не про них? Простите неудобно получилось…
Читал как-то, что кошки реагируют намного быстрее людей именно благодаря тому, что люди умнее. Обработка сигнала более сложным путём идёт, поэтому страдает скорость реакции.
Добавить комментарий